新闻中心
首页 > 新闻中心 > 检查结果互证技术------体检中的影像学比较
检查结果互证技术------体检中的影像学比较

美超体检质量把控措施之一


与医院看病不同,体检是在一大批自我“感觉正常”或“没有明确症状”的人群中发现系统或器官的疾病和健康问题。特别是放射和超声这二项影像学,要求找出器官存在的病灶(结节、肿瘤、囊肿、血管瘤、结石、息肉等)和器官功能或病理状态,并初步提出病灶和病理状态的性质。因此,对专业技术和服务的要求更高。由于各种检查本身具有各自的特点和各类医生判读经验和角度不同,美超体检中心对检查出来的异常结果一直实行不同检查之间的互证制度,以确保检查结果判断的正确性,最大程度的避免漏判和误判。在质量控制上取得了良好效果。

放射(普通X光和CT)与超声二项同属影像学检查之间的比较判断,就是检查结果互证技术之一。

看看比较互证的典型案例:

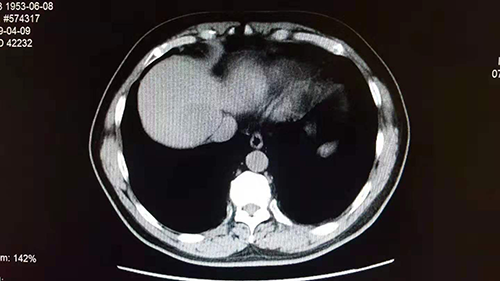
美超体检中心客户、男性、65岁,有“小三阳”多年。2019年5月体检,超声和CT影像学均显示肝血管瘤,并与去年比较结果相同,肿瘤指标甲胎蛋白检查显示阴性。超声与CT图像在比较分析时发现,超声与CT初步判读的肝血管瘤并不在肝脏的同一部位(同一病灶),经对病灶进行定点超声扫查,确认为肝实质性占位,随后在东方肝胆医院获得手术切除。


影像学比较可以提高体检的精准度,包括超声、CT等影像检查结果之间的比较;同一检查在不同时期结果的比较。
版权所有 ©江阴美超门诊部有限公司 2021
地址:江阴市敔山湾敔山路3号
电话:0510-86610816
技术支持:HUSEO